“손상된 소아의 폐조직…공기 가득해야 할 페포들이 다 쪼그라들어”
2011년 4월 서울 시내 A병원의 중환자실에 주산기(임신 20주부터 출산 후 4주까지의 기간) 산모 여섯 명이 폐섬유화를 동반한 호흡부전으로 입원했다.
‘폐섬유화’는 특정 질병이라기보다는 여러 가지 원인을 통한 염증과정을 거치면서 호흡을 담당하는 폐세포가 호흡할 수 없는 상처조직(섬유조직)으로 변해버린 상태를 말한다. 보통은 특발성(원인이 없다는 말)인 경우가 많고 60세 이상의 고령 환자에서 종종 발견된다. 담배나 혹은 다른 독성물질에 대한 노출력이나 과거 호흡기 질병력 없이 젊은 사람에게 발현하는 경우는 매우 드물다. 더군다나 이 경우처럼 젊은 산모들이 집단적으로 발병하는 경우는 더욱 드물어 아마도 세계 최초가 아닐까 싶다.
해당 병원의 의료진들도 사태의 심각성을 인지하였다. 의료진들은 4월 25일 질병관리본부(이하 질본)에 역학조사를 요청했으며 다음 날 바로 질본과 교수진 사이에 미팅이 이뤄졌다. 5월 6일에는 정식 역학조사(Epidemiologic Survey. 질병이 발생했을 때 발생 원인과 특성을 통계적인 방법을 동원해 찾는 것)가 결정되었다.
환자 중 13명이 20대 후반에서 30대 중반의 여성이고, 10명이 주산기 산모다. 초기 증상은 대부분 기침이었으며 이후 호흡곤란으로 진행되었다. 증상 발생 시기는 1월에 3명, 2월에 2명, 3월에 10명 및 5월 1명으로, 겨울에 집중되어 있고, 증상 발생부터 입원까지의 평균 기간은 34일이다. 환자 중 5명은 자녀가 동일한 질환으로 소아과에서 치료를 받았거나 치료 중이고, 한 명의 경우는 일가족 3명이 동일한 진단을 받았다. 환자들의 거주지, 직업력, 약물 복용력은 특기할 점이 없었으나, 병력 청취가 확인된 15명이 공통적으로 겨울철 동안 가습기와 가습기 살균제를 사용했다.
동일한 질환으로 추정된 모든 환자는 흉부전산화단층촬영(CT. computed tomography)을 받았으며, 9명(56%)의 환자에게서 조직검사 소견을 얻을 수 있었다. 조직소견은 병의 경과나 중증도에 따라 정도의 차이는 있었으나, ‘폐쇄적인 세기관지염 및 섬유화(destructive and obliterative bronchiolitis and fibrosis)’를 특징으로 하는 폐손상 소견을 보였다. 이러한 조직학적 특성은 ‘흡입에 의한 손상(inhalation injury)’을 시사하는 것이어서 역학조사의 결과에도 부합했다.
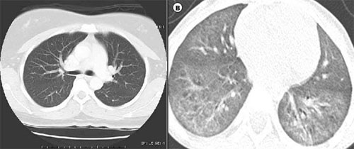
왼쪽 사진은 정상 성인의 흉부전산화단층촬영(CT) 소견으로, 검게 보이는 곳들이 폐실질(폐포와 공기가 있는 곳)이다. 오른쪽 사진은 가습기 살균제로 손상 받은 소아의 흉부전산산화단층촬영(CT) 소견으로, 검게 보여야 할 곳이 염증과 폐섬유화로 인해 하얗게 보인다. 유리를 갈아 놓은 것 같다고 해서 ‘간유리음영’이라고도 부른다.
왼쪽은 정상인의 폐조직 소견이다. Aveolus (폐포), Capillary (모세혈관), Blood vessel(혈관), Bronchiole(세기관지). 공기로 가득 찬 얇은 막을 가진 폐포들이 폐를 구성하고 있다. 오른쪽 사진은 가습기 살균제로 손상된 소아의 폐조직 소견이다. 섬유아세포(fibroblast)들이 활발하게 증식하고 공기로 가득해야 할 폐포들이 다 쪼그라들어 있어서, 폐조직인지 알아차리기조차 힘들다.
A병원 환자들의 임상경과
증상이 발생한 16명 중 13명이 입원치료를 받았고, 13명 중에 10명이 일반적인 산소공급 치료에 불응하는 저산소증으로 중환자실에 입실했다. 이 10명 중 9명이 호흡부전으로 진행되어 인공호흡기치료(invasive mechanicalventilation)를 받았으며, 1명은 비침습적(인체에 고통을 주지 않는) 산소공급치료로 산소 유지가 가능하여, 중환자실 이실 9일째 일반병동으로 옮겼다.
환자들에게 경험적 항생제, 항바이러스제, 스테로이드, 면역억제제 등 가능한 모든 처치가 이루어졌으나 중환자실에 입실한 환자들은 대부분이 치료에 반응하지 않았기 때문에 8명이 체외순환막형산화요법(extracoperal membrane oxygenation, ECMO. 환자의 폐를 대신해 산소를 공급해주는 요법)을 받았다. 중환자실 입원환자 10명 중 비침습적 산소공급치료를 받은 1명과 이후에 폐이식을 받은 4명 외에 5명은 모두 사망하였다. 일반병실에 입원한 3명의 환자들을 저산소증이 심하지 않아서 산소치료, 항생제, 스테로이드 등의 경험적 치료 후 안정되어 퇴원하였다.
질본의 역학조사 및 흡입독성시험
초기역학조사는 2011년뿐 아니라 그 이전의 기록도 소급해서 검토하였으나 개인정보보호법 등 현실의 제약 때문에 대상은 A병원으로 한정되었다. 총 28명의 환자를 추려낼 수 있었고 28명 중 조사에 응하지 않거나 조사불능의 대상자를 제외하고 18명에 대해 면접설문조사를 진행하였다.
의무기록 등으로 조사가 가능하였던 28명의 발생 시점은 대부분 1월부터 4월까지였으며, 1명을 제외하고 7월부터 11월까지 발생한 경우는 없었다. 또한 환자는 전국 각지에서 내원하였다. 조사된 위험요인 별로 대응위험도(오즈비, odds ratio. 질병의 위험요인을 평가하는 역학적 지표)를 계산하였다. 다른 위험요인의 영향을 통계적으로 보정하지 않은 상태에서 계산된 결과에 따르면 가습기 살균제, 가습기 사용, 거주 환경에서 곰팡이의 존재 등이 주요 위험요인으로 조사되었다.
대응위험도는 각각 47.3, 13.7, 4.4으로, 통계적으로 유의한 결과다. 통계적 위험요인을 보정한 다변량 분석결과 또한 유사하게 얻어졌다. 역학적 관점에서 47.3의 대응위험도는 ‘해당 위험요인이 해당 질병의 원인일 가능성이 매우 높음’을 의미한다. (대응위험도는 1보다 높을 수록 질병의 원인일 가능성이 커짐을 의미한다. 흡연의 폐암 대응위험도는 11.7~22.7, B형 간염의 간경화 대응위험도는 24.7~27.2 정도다)
가습기 및 곰팡이의 경우, 가습기 살균제와 동반하여 관찰되는 위험요인으로서 자체적인 원인으로 작용하였을 가능성은 낮은 것으로 판단하였다. 따라서 연구진과 질본 측에서는 수차례의 논의를 거쳐, ‘가습기 살균제의 장기간 흡입이 이번 유행의 원인일 가능성이 있다’는 잠정적인 결론에 도달하였다.
그러나 인과성을 확인하기 위해서는 일정 수준의 생물학적 증거가 필요하다. 따라서 가습기에 사용된 살균제의 성분 자료 및 동물실험 자료를 확보하는 한편, 가습기에서 발생하는 살균제 입자의 양상과 세기관지까지의 흡입 가능성에 대한 평가, 세포독성시험, 동물흡입 독성시험 등을 수행하였다. 살균제 입자 생성시험이나 세포독성시험에서 ‘살균제 성분이 세기관지까지 직접 침투되고 세포의 사멸을 초래한다’는 결과를 얻으면서 정부에서는 8월 31일 ‘원인미상의 폐질환이 살균제 때문에 발생했을 가능성이 있다’고 정식으로 발표하였다.
이후 3개월 동안 지역사회를 대상으로 한 추가적인 환자-대조군 연구를 수행하고, 가습기 살균제 사용량 및 기간 등과 폐손상 관련성에 대한 양-반응 관계를 평가하였다. 또한 이후 진행된 소아 대상의 추가 역학조사에서도 가습기 살균제로 인한 소아 폐손상의 가능성을 시사하는 소견이 있었다.
11월 초에 동물흡입독성 시험의 잠정적 결과를 얻으면서, 2011년 11월 11일에 유해성이 확인된 가습기 살균제의 강제 수거 명령, 의약외품 지정 등 직접적 규제 조치가 발표되었다. 또한 공식조사를 위해 조사위원회가 구성되어 활동 중에 있으며, 가습기 살균제 제조사에 대한 손해배상 재판 또한 진행 중이다.
상기까지의 내용은 2011년 6월 초, 질본과 A병원에서 발표한 중간역학조사 결과와 당시 조사에 참여했던 교수님이 2013년 대학의학회지에 기고한 내용을 발췌·정리한 것이다.
2013년도를 기준으로 국내에는 4만 3천 여 종의 화학물질들이 유통되고 있었지만, 이중 유해정보가 확인된 것은 15%에 지나지 않는다. 가습기 살균제 성분 역시 유해정보가 확인되지 않은 85% 중에 하나였다. 그토록 많은 사람들이 폐쇄된 공간에서 지속적으로 호흡했던 물질이 이토록 허술하게 다루어졌다는 점은 사실 경악스럽다고 밖에 할 수 없다. 2013년 5월 ‘화학물질 등록 및 평가 등에 관한 법률 및 화학물질관리법’이 제정되어 2015년부터 시행되고 있다고는 하는데, 법률이 제대로 정착되고 화학물질에 대한 안전이 확보되려면 아무래도 더 걸릴 것 같다.
2011년 본격적 역학조사 이전인 2006년과 2008년에 각 15명과 97명의 소아 및 영유아의 폐섬유화증을 대상으로 다기관 참여 임상연구가 있었다. 아마도 동일한 병인이 관여했을 것으로 강력히 추측된다(가습기 살균제 시판이 중단되는 2012년부터 동일 유형의 소아 및 영유아 환자는 0명을 기록하고 있다). 해당 연구들은 병의 경과와 치료효과들을 논의했지만 결국 병인을 밝혀내지는 못했다. 하지만 이들의 사전연구 및 노력이 있었기에 11년 산모들의 집단발병 시에 비교적 신속한 역학조사가 이루어질 수 있었다.
가습기는 살균제 독성으로 인한 폐섬유화증 뿐 아니라 과민성 폐장염(hypersensitivity pneumonitis)이라는 일종의 알레르기 질환을 야기할 수 있다. 폐 가습을 위해 저장한 물속에서 세균들이 자라고 이 균들이 분비한 독소(endotoxin)를 흡입하기 때문이다. 또는 물속에 자연적으로 녹아있는 포함된 미네랄 성분들이 가습과정을 거치면서 분진의 형태로 호흡곤란을 야기할 수 있다.
아파트와 온돌난방의 효율을 높이기 위한 단열재의 조합이 겨울철 유독 실내를 건조하게 한다. 이 건조함이 산모나 영유아들을 아토피 피부염으로 고생하게 하고, 가습기에 두 집단을 더욱 노출하게 만들었다는 연구가 있다.
한 질병의 발생과 전파·소멸에 해당 국가의 정치, 문화, 산업, 유전인자 등 복잡한 요인들이 관여함은 지난 메르스 파동 때도 절절하게 경험한 바 있다. 환경부는 2015년 12월 31일까지 3차에 걸친 피해조사를 시행하였으며, 752명의 의심사례를 접수·조사하였다. 환경단체의 비공식조사에 따르면 1500명의 피해사례, 200명 이상의 사망자를 기록하고 있다고 한다. 그리고 추가접수에 대한 요청이 많아 이번 5월부터 4차 피해접수를 시작(링크)하였다.
필자는 요즘 <기억>이라는 드라마를 즐겨본다. 뺑소니 사고로 인해 하나뿐인 아들을 잃은 후 그 기억으로부터 벗어나기 위해 성공에 집착하던 변호사가, 알츠하이머 진단을 받고 과거 사건의 진실을 파헤쳐간다는 줄거리다. 가습기 살균제 사건은 드라마 속의 뺑소니와 너무도 닮아 있다. 피해자는 있으되 가해자는 없고, 피해자 가정은 무너져 내렸지만, 정부와 사회는 냉정하다. 으레 그래왔듯이 내 나라의 현실은 드라마보다 더 참혹하고 드라마처럼 꺼버릴 수도 없다.
※ 이 글은 딴지일보(http://http://www.ddanzi.com/)에도 함께 게재되었습니다.
- 김동완 “옥시 불매운동 동참, 피해자 가족들 응원하는 길”…SNS “인증샷 올려달라”
- 심상정 “1차 책임 정부‧검찰…옥시 청문회, 도요타 때도 회장 불렀다”
- 마트노조준비위 “대형마트, 옥시제품 판매 즉각 중단하라”
- 가습기살균제 피해자 父 “우리 애기를 내 손으로 서서히…” 절규
- 옥시 영국본사 수사 보류 논란…“CEO등 8명 고발, 다국적기업 단죄해야”
- 심상정 “안방에서 발생한 세월호 사건…‘옥시 청문회’ 개최해야”
- “정부, 가습기 살균제 피해범위 축소 의혹…檢 수사범위 제한”
- 시민단체, 옥시 불매운동 공식 선언.. 소비자 동참 호소
